こんにちは!
世田谷区等々力のけいこくの森動物病院です。
今回は口の痛みがかなりのストレスになっていた猫ちゃんの歯科症例を紹介します。
症例
今回の症例は9歳のミックス猫さん。
2〜3週間前からドライフードのような固形色を食べなくなったとのことで来院されました。
話を伺うと、口を痛そうにするあまり夜もずっと鳴き続け、ご家族も参ってしまっているとのこと。
診察したところ歯の吸収病巣が疑われました。
猫の吸収病巣について
吸収病巣(破歯細胞性吸収病巣)は、猫によく見られる歯の病気で、歯が自然に溶けてしまう病気です。
歯周病やウイルス、遺伝などの関与が考えられていますが正確な発症原因は未だ不明です。
人の虫歯とも違い歯がきれいな状態でも発生することもあれば、若くして発症する子もいます。
歯が溶ける過程で歯の中の神経が露出するため、食べ物などが当たると痛みを引き起こします。


上の写真は今回の猫ちゃんの歯です。歯肉が赤く盛り上がり歯に覆いかぶさっているように見える部分がありますが、これが典型的な吸収病巣の見た目です。歯肉が覆っている部分の下の歯の表面が溶けていることが多いです。
よく「食べたそうにしても食べない」と相談を受けることが多いです。現在のところ、この病気を根治させる治療は確立されておらず、抜歯もしくは溶けている歯冠部(表に見えている部分)を切断することで痛みを取り除く治療が選択されます。今回の猫ちゃんも吸収病巣が痛みの原因と考えられたため、全身麻酔下で詳細な検査と抜歯を行うことになりました。
歯科処置
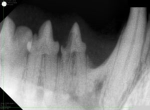
当院では、詳細な歯科検査と治療は全身麻酔下で行います。
麻酔をかけた状態で、歯科レントゲン撮影を行い表からは見えない歯の根や歯の内部に異常がないかまで確認します。また、歯を1本ずつ触り歯周病によって歯周ポケットができていないか、出血がないかなども確認します。
これらの検査によって正確な歯科診断をくだすことができ、適切な治療の選択が可能となります。


歯科レントゲンにより、溶けている歯は1本だけであり歯根と顎の骨の癒着も少ないことがわかりました。

問題を起こしている歯を抜歯し、他の歯は徹底的に歯周病の原因となる汚れを除去(スケーリング)して終了です。
術後は、よく食べるようになり夜中鳴いていた症状も落ち着いたとのことでした。
それだけ術前の口の違和感が強かったということなのでしょう。
吸収病巣は他の歯にも発生する可能性があるため、今後も定期的な歯科検診を続けていきます。
東京都世田谷区、等々力、玉川、上野毛、尾山台、自由が丘、田園調布でお困りの方は、いつでもお気軽にご相談ください。
。・゚・。。・゚・。。・゚・。。・゚・。・゚・。
けいこくの森動物病院 世田谷犬猫歯科
〒158-0082
東京都世田谷区等々力1-34-18
シュロス等々力1F
TEL:03-3704-1014
。・゚・。。・゚・。。・゚・。。・゚・。・゚・。