こんにちは!
世田谷区等々力にあります、けいこくの森動物病院です🌳
今回は、お口の排膿をきっかけに歯科処置を行ったワンちゃんの症例をご紹介します。
「歯ぐきのできものから膿が出ている」
今回ご紹介するのは、ミニチュア・シュナウザーの女の子(9歳)です。
上顎の奥の歯ぐき付近にできものがあり、そこから膿が出ているということで来院されました。
気づいたのは約1か月ほど前で、痛がる様子も目立たず、様子は普段通り。
しかし見た目の症状は小さくても、歯の中では病気が進行しているケースは少なくありません。

診断
歯ぐきからの排膿(内歯瘻)が確認されましたが、明らかな歯冠破折は認められませんでした。
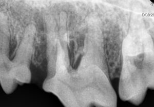
【📷 歯科レントゲン写真】

全身麻酔下で歯科レントゲン検査を行ったところ、右の大きな奥歯に根尖病変が確認されました。
内歯瘻とは、歯の内部で起きた感染が、歯ぐきを突き破って膿として排出される状態です。
この病気の厄介な点は、
・歯が折れていなくても起こる
・外からは小さなできものにしか見えない
という点です。
治療方針
本症例で歯を温存するためには抜髄根幹治療を行った上に、歯周外科などによる歯周病治療が必要になります。
今回、飼い主様が希望されなかったため、抜歯による治療を選択しました。
治療前・治療後


現在は経過観察中ですが、
感染源を取り除いたことで、今後は歯ぐきの改善や再発防止が期待されます。
内歯瘻は、
・食べられている
・元気がある
・痛がらない
といった理由で、発見が遅れやすい病気です。
しかし、歯の内部では感染が進行し、
放置すると
・慢性的な炎症
・骨への影響
・再発を繰り返す排膿
につながることがあります。
まとめ
・歯ぐきにできものがある
・膿が出ている
・口元を触られるのを嫌がる
・片側で噛む
このような症状がある場合、歯の内部の病気が隠れている可能性があります。
早期に適切な歯科治療を行うことで、大きなトラブルを防ぐことができます。
気になることがあれば、どうぞお気軽にご相談ください。
【関連する記事はこちら】
顔にできものが折れた歯が原因で生じた外歯瘻(がいしろう)のために抜歯をしたわんちゃん
東京都世田谷区、等々力、玉川、上野毛、尾山台、自由が丘、田園調布で、歯でお困りの方は、いつでもお気軽にご相談ください。
。・゚・。。・゚・。。・゚・。。・゚・。・゚・。
けいこくの森動物病院 世田谷犬猫歯科
〒158-0082
東京都世田谷区等々力1-34-18
シュロス等々力1F
TEL:03-3704-1014
。・゚・。。・゚・。。・゚・。。・゚・。・゚・。