
診療時間 | 月 | 火 | 水 | 木 | 金 | 土 | 日 | 祝 |
---|---|---|---|---|---|---|---|---|
9:00〜12:00 (最終受付11:30) |
|
|
|
|
|
|
|
|
16:00〜19:00 (最終受付18:30) |
|
|
|
|
|
*
|
*
|
*
|
*土曜日・日曜日・祝日の午後は18:00(最終受付17:30)までとなります。
( 変更になることがありますので、お電話にてご確認ください )
歯科レントゲン
-
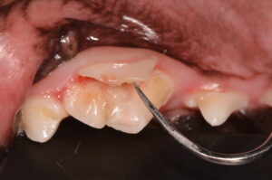
歯内治療の後にクラウンで歯を修復したわんちゃん
皆さんこんにちは! 世田谷区等々力にあります、けいこくの森動物病院です🌳 今回は歯の被せ物であるクラウン(ジルコニア、セラミック)の装着を行ったわんちゃんの紹介をします。 クラウ
-
子犬の歯が2本並んでいる…乳歯遺残について
こんにちは! 世田谷区等々力のけいこくの森動物病院です🌳 今回は、子犬の乳歯遺残についてお話しします。 犬の乳歯遺残について 抜けない乳歯は注意が必要です! 子犬を迎えてし
-
【犬・猫の歯が生えてこない?】「埋伏歯」や「未萌出歯」ってなに?
こんにちは! 世田谷区等々力のけいこくの森動物病院です🌳 「うちの子、いつまでたっても歯が生えてこない気がする」 「乳歯が抜けたのに、そのあと永久歯が見えない…」 そんな心配をしている飼い主さ
-
乳歯遺残や埋伏歯があるかも⁉ 子犬の歯科レントゲンの重要性について🦷
こんにちは! 世田谷区等々力のけいこくの森動物病院です🌳 今回は子犬での歯科レントゲンの重要性についてお話します。 子犬での歯のトラブルとしては乳歯遺残が代表的であり、乳歯の確認に歯科レントゲン
For a healthy life with your beloved pets.
For a healthy life with your beloved pets.