こんにちは!
世田谷区等々力のけいこくの森動物病院・世田谷犬猫歯科です。
歯科治療の症例をご紹介します。
症例
今回の症例は、12歳のミニチュア・シュナウザーさん。
定期的に歯科処置を受けてくれている子です。
前回処置からおよそ2年経つ頃でしたが、歯の汚れが気になってきたとのことで処置を希望されました。
歯科処置

処置前の写真です。重度ではありませんが全体的に歯石・歯垢の付着と歯肉の赤み(歯肉炎)がみられました。
歯石のつき具合だけで重症度を評価することはできません。
見た目がきれいでも、見えない部分で歯周病は起こります。

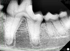
そのため、見た目だけでは分からない歯の根の周囲の様子も確認します。専用の歯科レントゲン撮影を行い歯根や周囲の骨の状態を評価しました。
あわせて歯周ポケットが深くないか歯を1本1本触れて歯肉の状態も診断します(プロービング)。
幸いなことに歯周病が重度に進行した歯はなく、今回は抜歯の必要もないことが分かりました。
炎症の原因となっている歯垢・歯石を徹底的に取り除き(スケーリング処置)、歯の表面を研磨(ポリッシング)することで処置終了です。

終わりに
シュナウザーさんは遺伝的に歯周病が進行しやすい個体が多く、歯を残すためには定期的な処置が必要です。
歯が存在する限り歯周病に完治はありません。どれだけ軽い状態で維持していけるかが重要です。
また、歯磨きを頑張っていても見えない部分で歯周病は進行していきます。
生涯に渡り1本でも多くの歯を残せるよう、今回のように定期的な治療をおすすめしています。
10歳以上だからという理由だけで麻酔がかけられないということもありません。
当院では事前に全身の検査を行い、その子に合わせた麻酔計画を立てていますので、ご相談ください。
【関連する記事はこちら】
毎年麻酔をかけて歯科処置を行っている17歳のミニチュアダックスさんの歯周病治療
口臭や食欲低下、歯がグラグラ出血する…もしかして歯周病かも?
東京都世田谷区、等々力、玉川、上野毛、尾山台、自由が丘、田園調布で、歯でお困りの方は、いつでもお気軽にご相談ください。
。・゚・。。・゚・。。・゚・。。・゚・。・゚・。
けいこくの森動物病院 世田谷犬猫歯科
〒158-0082
東京都世田谷区等々力1-34-18
シュロス等々力1F
TEL:03-3704-1014
。・゚・。。・゚・。。・゚・。。・゚・。・゚・。