世田谷犬猫歯科

けいこくの森動物病院
03-3704-1014

〒158-0082
東京都世田谷区等々力1丁目34-18

診療時間
9:00〜12:00
13:00〜18:00

※18時以降は夜間診療の為、お電話にてお問合せください
※学会などで変更になることがありますので、お電話にてご確認ください
※大井町線等々力駅より徒歩5分!

足跡 足跡

16歳わんちゃんの歯周病治療

こんにちは!

世田谷区等々力のけいこくの森動物病院です🌳

今回は、「口をカタカタ鳴らす」という症状を主訴に来院された、

16歳のカニンヘンダックスフンドさんの症例をご紹介します。

 

口をカタカタ鳴らす様子が気になって来院

飼い主さまが気づかれたのは、下あごが小刻みに震えるように動き、カタカタと音がする様子でした。

高齢ということもあり、「寒さのせい?」「神経の病気では?」と心配されてのご来院でした。

このようなチャタリングと呼ばれる症状は、実は歯やお口のトラブルが関係していることもあります。

 

お口の中を確認すると…

診察では、歯肉の赤みや歯石の付着が確認され、慢性的な歯周病が疑われる状態でした。

一見すると大きな異常がないように見えても、歯周病はゆっくり進行し、強い不快感や痛みを引き起こすことがあります。

 

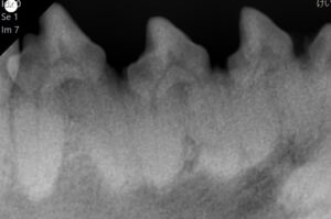
レントゲン検査で分かったこと

📷 歯科レントゲン写真(アンキローシス)

歯科用レントゲン検査を行ったところ、歯と顎の骨が癒着してしまう「アンキローシス」が全体的に進行していることが分かりました。レントゲン上で歯根膜が消失しているのがわかります。

 

治療について 

 

歯科診断により、現時点で抜歯が適応となる歯は認められませんでした。そのため今回は全身麻酔下でのスケーリング(歯石除去)とポリッシングを実施しました。

 

治療前(左)・治療後(右)

 

1週間後の再診

歯肉の赤みが明らかに改善し、チャタリングがほとんど見られなくなったことが確認できました。

チャタリングの原因はひとつではありませんが今回のように、歯周病が関係しているケースも決して少なくありません。

特に高齢のわんちゃんでは、「食べられているから大丈夫」と思われがちですが、慢性的な違和感を我慢していることも多いのが現実です。高齢でも、歯科治療で生活の質が変わることがあります

 

まとめ

今回の症例では、歯石除去と歯周ケアを行うことで、チャタリングという症状の改善が認められました。

年齢だけを理由に治療を諦めるのではなく、その子に合った方法を選択することで、毎日の快適さ(QOL)を向上させられる可能性があります。

小さなサインでも、ぜひ一度ご相談ください。

 

【関連する記事はこちら】

【歯科症例】11歳トイプードル歯周病治療例

わんちゃんのスケーリング

 

東京都世田谷区、等々力、玉川、上野毛、尾山台、自由が丘、田園調布で、歯でお困りの方は、いつでもお気軽にご相談ください。


。・゚・。。・゚・。。・゚・。。・゚・。・゚・。

けいこくの森動物病院  世田谷犬猫歯科

〒158-0082

東京都世田谷区等々力1-34-18

シュロス等々力1F

TEL:03-3704-1014

。・゚・。。・゚・。。・゚・。。・゚・。・゚・。

ブログ一覧へ
For a healthy life with your beloved pets.
For a healthy life with your beloved pets.


ご紹介いただく病院様へ

当院ではご紹介を受け入れております。患者様へ当院をご紹介いただく際は、こちらからフォームのご記入をお願いします。診察日時予約に関しては飼い主様から承っております。 飼い主様へWebサイトもしくはお電話(03-3704-1014)でご予約いただくようお伝えください。

ご紹介フォームへ

友だち追加してLINE予約

ご予約

友だち追加してLINE予約

もしくはWEBから予約