こんにちは!
世田谷区等々力のけいこくの森動物病院です🌳
今回は、歯周病治療と去勢手術・臍ヘルニア整復を行った5歳のノーフォークテリアさんを紹介します🐶
歯周病について
犬では2歳で70%、3歳で80%、7歳で100%が歯周病とされています。
歯周病は、歯の周囲の組織に炎症を引き起こす病気で、歯肉の炎症から始まり、悪化すると歯槽骨や歯根膜などの組織が破壊されます。
歯周病は、口腔内の問題だけではなく、全身の健康に深刻な影響を及ぼす可能性があります。歯周病菌が血流に乗って体内を巡ることで、心臓、腎臓、肝臓などに重大な健康問題を引き起こすリスクがあります。また、慢性的な痛みや不快感が生活の質を著しく低下させることもあります。
ノーフォークテリアと歯周病
ノーフォークテリアは歯周病になりやすい犬種に含まれます。
歯周病は初期の段階では痛みや目立った症状がほとんどないため、気が付かないうちに進行してしまうことも少なくありません。
進行すると、口臭が強くなるだけでなく、歯がぐらついたり、最終的には抜歯が必要になることもあります。
症例
5歳のノーフォークテリアの男の子です🐶
最近ご自宅にお迎えされました。
口臭が強く歯石が多いこと、去勢手術が未実施なこと、臍ヘルニアがあることのご相談を受けました。
飼主さんと相談し、歯周病治療・去勢手術・臍ヘルニア整復を同日に行うことにしました。
歯周病治療

処置前の写真です。
全体的に歯石・歯肉炎があり、口臭もありました。
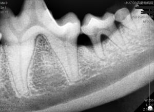
歯のレントゲンを撮ってみると歯周病により歯を支えている骨が溶けているのが分かります。

歯周ポケットが深く、揺れがあり、歯周病が重度に進行している歯は抜歯を行いました。
その他の歯はしっかりとクリーニングを行いました。


まとめ
若いワンちゃんでも、犬種や歯磨き習慣によっては歯周病が進行しています。
歯の健康は全身の健康につながります。
歯について心配なことがありましたら、お気軽にご相談ください。
【関連する記事はこちら】
口臭や食欲低下、歯がグラグラ出血する…もしかして歯周病かも?
東京都世田谷区、等々力、玉川、上野毛、尾山台、自由が丘、田園調布で、歯でお困りの方は、いつでもお気軽にご相談ください。
。・゚・。。・゚・。。・゚・。。・゚・。・゚・。
けいこくの森動物病院 世田谷犬猫歯科
〒158-0082
東京都世田谷区等々力1-34-18
シュロス等々力1F
TEL:03-3704-1014
。・゚・。。・゚・。。・゚・。。・゚・。・゚・。