2025/12/17
こんにちは!
世田谷区等々力のけいこくの森動物病院です。
今回は、歯の吸収病巣を起こした猫さんの例をご紹介します。
症例
食欲が落ちてきたとのことで来院される猫さんが多いです。
口の中を視診すると歯の表面に歯肉が覆いかぶさっている部分が見られます。これは歯の吸収病巣という病気の典型的な特徴で、歯の表面が溶けてその部分に炎症を起こした歯肉が盛り上がって覆いかぶさっている状態です。他に血液検査や全身の画像検査では大きな異常が見られない場合、口の痛みによって食欲が落ちていることが疑われます。
猫の吸収病巣(正確には破歯細胞性吸収病巣)は、原因が明らかになってはいませんが歯が自然に溶けてしまう病気です。左右対称の歯に起こることもあるため遺伝性の可能性も考えられています。歯が溶けて内側の神経が露出すると食べ物が触れた際に痛みを起こすため、猫が食べたくても食べられないという症状を引き起こします。人の虫歯と異なり、溶けた部分を削って被せ物をしてもいずれ更なる吸収が進んでしまうため、現状は抜歯が選択されます。
歯科処置
歯科処置は全身麻酔をかけて行います。まずは歯のレントゲン撮影を実施し、表面から見えない歯根や顎の骨の状態を確認します。
この検査により、吸収病巣以外にも歯周病の有無やその進行具合を把握することができます。

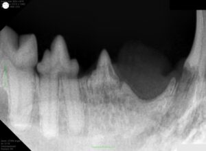
↑歯科レントゲンの画像の例です。画像の左側2本の歯は比較的良い状態が保たれています。

↑画像中央の歯と、右端に映る犬歯に吸収病巣が発生しているレントゲン画像です。
歯の表面が虫食い状に溶けている部分があり、歯根部は顎の骨と一体化しつつあります(骨性癒合)。
吸収病巣を起こしている歯については抜歯、もしくは溶けている歯冠部分を切除することで痛みの原因を取り除くことができます。
(抜歯するか歯冠切除をするかは状態によって判断します)
処置後
残念ながら吸収病巣に対しては完全な予防方法が無く、その後他の歯にも吸収病巣が発生する可能性があるため処置後も定期的な歯科検診が推奨されます。
口の痛みが長期間続くことで次第に痩せていってしまう猫さんも多く見られるため、早期の発見と治療が重要です。
猫さんの健康を守るためにも、違和感があれば早めの受診をお勧めします。
【関連する記事はこちら】
東京都世田谷区、等々力、玉川、上野毛、尾山台、自由が丘、田園調布で、歯でお困りの方は、いつでもお気軽にご相談ください。
。・゚・。。・゚・。。・゚・。。・゚・。・゚・。
けいこくの森動物病院 世田谷犬猫歯科
〒158-0082
東京都世田谷区等々力1-34-18
シュロス等々力1F
TEL:03-3704-1014
。・゚・。。・゚・。。・゚・。。・゚・。・゚・。


