こんにちは!
世田谷区等々力のけいこくの森動物病院・世田谷犬猫歯科です🌳
今回は、「お口が臭う」ことをきっかけに歯科処置を行い、埋伏歯が見つかったワンちゃんの症例をご紹介します。
口臭と歯の汚れが気になって来院
今回ご紹介するのは、2歳のシーズーさんです。
飼い主さまからは、
- 以前から口が臭う
- 歯の汚れが気になる
- 毎日ブラッシングしているが、時々歯ぐきから出血してしまう
といったお話がありました。
口腔内チェック
診察では、軽度の歯肉炎と歯石が認められました。
また、上顎の奥歯が一本少ないのがわかりました。
若いワンちゃんでも、歯周病や歯の生え方の異常が隠れていることがあります。
歯科レントゲン検査で判明した異常
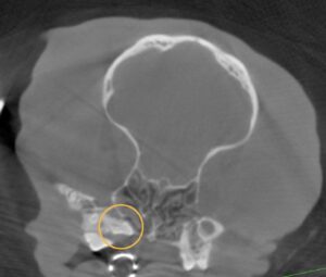
全身麻酔下で頭部CT、歯科レントゲン検査を実施しました。


その結果、上顎の奥歯が、顎の骨の中に完全に横向きに埋伏していることが分かりました。
埋伏歯とは、本来生えてくるはずの歯が、骨の中に埋まったままになっている状態です。
外からは見えないため、視診や歯磨きでは気づくことができません。
埋伏歯はどの犬種でも起こり得ますが、特に短頭種やチワワで多く見られます。
これらの犬種では、
- 顎が小さい
- 歯が密に並びやすい
- 生え代わりの過程で歯が正しい位置に出られない
といった理由から歯が骨の中に埋まったまま残ってしまうことがあります。
そのため若い年齢でも歯科レントゲン検査が重要になります。
【犬・猫の歯が生えてこない?】「埋伏歯」や「未萌出歯」ってなに?
放置すると起こり得る「含歯性嚢胞」
埋伏歯は、放置すると含歯性嚢胞(がんしせいのうほう)と呼ばれる病変を形成することがあります。
含歯性嚢胞が進行すると、
- 顎の骨を溶かす
- 周囲の歯に悪影響を及ぼす
- 顔の腫れや炎症を引き起こす
といったトラブルにつながる可能性があります。
今回の症例では、若齢で将来が長いことを踏まえ、
予防的な意味も含めて抜歯が最善と判断しました。
治療内容 ― 埋伏歯の抜歯と歯科処置
埋伏していた歯は、慎重に骨を削りながらアプローチし、残根を残さず完全に摘出することができました。


併せて、
- 全体的なスケーリング(歯石除去)
- ポリッシング(歯面研磨)
を行いました。
治療後のお口の状態

処置後は、
- 問題となっていた埋伏歯は完全に除去
- 歯肉の状態も落ち着き、清潔な口腔環境に改善
しています。
埋伏歯は一度しっかり取り切れば再発することはありません。
将来的な含歯性嚢胞のリスクを、早い段階で防ぐことができました。
若いワンちゃんでも歯科レントゲンは重要です
今回のように、
- 年齢が若い
- 歯磨きをしている
- 見た目に大きな異常がない
場合でも、レントゲン検査で初めて分かる歯科疾患があります。
口臭や歯肉炎は、
「見えない原因」が隠れているサインであることも少なくありません。
まとめ ― 口臭は体からの小さなサインです
「まだ若いから大丈夫」
「歯磨きしているから問題ない」
そう思っていても、
口臭や歯ぐきの出血は、歯科トラブルの入り口であることがあります。
早期に発見し、適切に対応することで、
将来の大きな治療を防ぐことができます。
【関連する記事はこちら】
【歯科症例】永久歯が埋まっているかも⁉ 子犬の歯科レントゲンの重要性について🦷
ふとお口の中を覗いてみたら歯茎が膨れ上がっている…!?もしかしたら含歯性嚢胞(がんしせいのうほう)になっているかも💦
東京都世田谷区、等々力、玉川、上野毛、尾山台、自由が丘、田園調布で、歯でお困りの方は、いつでもお気軽にご相談ください。
。・゚・。。・゚・。。・゚・。。・゚・。・゚・。
けいこくの森動物病院 世田谷犬猫歯科
〒158-0082
東京都世田谷区等々力1-34-18
シュロス等々力1F
TEL:03-3704-1014
。・゚・。。・゚・。。・゚・。。・゚・。・゚・。