こんにちは!
世田谷区等々力のけいこくの森動物病院です。
今回は、重度の歯周病治療を実施した猫さんの紹介です。
症例
症例は3歳のミックス猫さん。
もともと保護された子で性格的になかなか病院に通うことができていなかったとのことでしたが、口が痛そうでごはんが食べづらくなっているという理由でかかりつけの病院様からご紹介いただきました。
診察したところ、口臭やヨダレがひどく、口の中を見ると広い範囲で歯を支える歯肉が失われていました。

重度の歯周病を起こしていると診断し、麻酔をかけたうえでのより詳細な検査と治療を提案しました。
歯周病について
歯周病は、口の中の細菌が原因となって起こる炎症性の病気です。
細菌自体はどれだけ健康な子であっても口の中に常在している微生物です。
細菌が歯と歯肉の間の溝にたまったものが歯垢であり、この歯垢に対して身体が戦う反応が炎症です。
https://www.keikoku-ah.com/dental/dog-disease#periodontal
歯周病は歯肉炎と歯周炎の2つにわけられます。歯肉炎は初期の段階であり、歯肉が赤く腫れてくる症状がみられます。
この段階で歯磨きによる歯垢の除去ができれば炎症の進行を抑えられるのですが、猫ちゃんでは完全な歯磨きは難しくどうしても磨ききれない部分が残ってしまいます。歯肉炎は歯がある限り自然に治ることはなく、放置すると次第に深く細菌が侵入していきます。
すると身体は細菌から逃れるために様々な酵素を出して自らの顎の骨を溶かしてしまいます。この状態は歯周炎と呼ばれ歯を支える歯周組織が失われた状態です。結果的に歯がぐらついたり炎症による痛みがでることで猫ちゃんたちの食欲が落ちたり痩せてしまうこともあります。
歯周病治療
治療は炎症の原因を取り除くことです。
初期の段階であれば専用の器具を用いて歯垢・歯石をできるだけ除去します。
猫や犬の場合は、ケガをさせない安全性の面や、すみずみの歯垢・歯石を取り残さない正確な治療のために全身麻酔が必要です。
病院に定期的に通うことが難しい、麻酔を何度もかけることが難しいなどの様々な理由により、炎症が深くまで及んでいる歯に関しては抜歯を行うこともあります。今回の猫ちゃんは性格的に通院が難しいとのことでしたから、ご家族とご相談のうえ抜歯を選択しました。

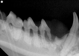
歯科レントゲン検査:歯を支える顎の骨(歯槽骨)が溶けている状態
手術後は口の違和感が無くなり、よくごはんを食べてくれるようになったとのことでした。
今回の子のように、歯が原因でつらい思いをしている子はたくさんいます。
重症化する前に、当院では早期からの歯科検診・治療をおすすめしています。
【関連する記事はこちら】
口臭、歯の汚れ…若いうちから歯周病予防を|3歳トイプードルのスケーリング
毎年麻酔をかけて歯科処置を行っている17歳のミニチュアダックスさんの歯周病治療
東京都世田谷区、等々力、玉川、上野毛、尾山台、自由が丘、田園調布で、歯でお困りの方は、いつでもお気軽にご相談ください。
。・゚・。。・゚・。。・゚・。。・゚・。・゚・。
けいこくの森動物病院 世田谷犬猫歯科
〒158-0082
東京都世田谷区等々力1-34-18
シュロス等々力1F
TEL:03-3704-1014
。・゚・。。・゚・。。・゚・。。・゚・。・゚・。