こんにちは!
世田谷区等々力のけいこくの森動物病院です。
歯周病の治療を行った猫さんの症例をご紹介します。
症例
今回の症例は3歳のミックス猫さん。
もともとは保護した子で、口臭やヨダレが気になってきたとのことで来院されました。
診察したところ重度の歯石と歯肉炎がみられ、多くの歯で歯肉が失われ歯の根元まで露出している状態でした。

重度の歯周病と診断し、全身麻酔下での詳細な検査と治療を行うことになりました。
そもそも歯周病とは?
歯周病は、口の中の細菌に対して体が反応する炎症性の病気です。
歯磨きが難しい猫さんでは歯の周囲に細菌の塊である歯垢(プラーク)・歯石が付着していき、体が許容できる限界を超えると歯を支える周囲の組織が壊れていきます。
治療は炎症の原因を可能な限り取り除くことですが、進行している場合には抜歯が必要になります。
自然に治るものではなく、早期からの治療が大切です。
歯科処置
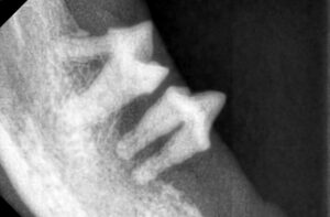
全身麻酔下で歯科レントゲンと歯周ポケットの測定(プロービング)などを行います。
これらの検査により、表面からは見えない顎の骨や歯根の状態を把握できます。


今回の歯科レントゲンでは、歯を支える顎の骨(歯槽骨)が重度に失われ歯根の周囲が露出している状態でした。
この状態になると歯垢・歯石を取り除くだけでは改善が難しく、ご家族と相談の上で抜歯を主体とした治療を行うこととなりました。

処置後は口臭も無くなり、以前よりもよくごはんを食べるようになってくれました。
歯周病は歯がある限りは生涯にわたって付き合っていかなければならない病気です。
日々の歯磨きができれば理想的ですが、それでも動物の場合は完璧な歯磨きは難しく犬猫の歯周病の罹患率は7歳以上で100%といわれます。
少しでも多くの歯を残すために、若いころから歯科検診をおすすめしています。
【関連する記事はこちら】
口臭や食欲低下、歯がグラグラ出血する…もしかして歯周病かも?
口臭、歯の汚れ…若いうちから歯周病予防を|3歳トイプードルのスケーリング
東京都世田谷区、等々力、玉川、上野毛、尾山台、自由が丘、田園調布で、歯でお困りの方は、いつでもお気軽にご相談ください。
。・゚・。。・゚・。。・゚・。。・゚・。・゚・。
けいこくの森動物病院 世田谷犬猫歯科
〒158-0082
東京都世田谷区等々力1-34-18
シュロス等々力1F
TEL:03-3704-1014
。・゚・。。・゚・。。・゚・。。・゚・。・゚・。