| 診療時間 | 月 | 火 | 水 | 木 | 金 | 土 | 日 | 祝 |
|---|---|---|---|---|---|---|---|---|
|
9:00〜12:00 |
|
|
|
|
|
|
|
|
|
13:00〜18:00 |
|
|
|
|
|
|
|
|
※18時以降は夜間診療の為、お電話にてお問合せください
※学会などで変更になることがありますので、お電話にてご確認ください
※大井町線等々力駅より徒歩5分!
Periodontal Disease
歯周病
-
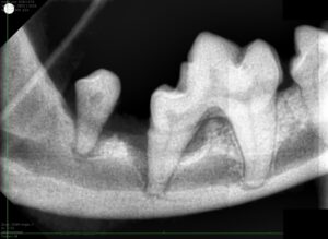
11歳トイプードルの歯科処置
こんにちは! 世田谷区等々力のけいこくの森動物病院です。 今回は歯周病治療を行ったトイプードルさんのご紹介です。 症例 今回は11歳のトイプードルさん。 歯磨きを毎日行ってい
-
マイクロスコープを導入しました
こんにちは! 世田谷区等々力のけいこくの森動物病院です。 この度、当院では歯科用のマイクロスコープ(顕微鏡)を導入しました。 この装置により、肉眼や通常のルーペでは見えなかった歯の
-
5歳のノーフォークテリアさんの歯周病治療
こんにちは! 世田谷区等々力のけいこくの森動物病院です🌳 今回は、歯周病治療と去勢手術・臍ヘルニア整復を行った5歳のノーフォークテリアさんを紹介します🐶 歯周病について 犬では
-
猫さんの重度歯周病処置
こんにちは! 世田谷区等々力のけいこくの森動物病院です。 歯周病の治療を行った猫さんの症例をご紹介します。 症例 今回の症例は3歳のミックス猫さん。 もともとは保護した子で、
-
シニア犬の歯周病|12歳ミニチュア・シュナウザーさんの歯科処置
こんにちは! 世田谷区等々力のけいこくの森動物病院・世田谷犬猫歯科です。 歯科治療の症例をご紹介します。 症例 今回の症例は、12歳のミニチュア・シュナウザーさん。 &nbs
-
毎年麻酔をかけて歯科処置を行っている17歳のミニチュアダックスさんの歯周病治療
こんにちは! 世田谷区等々力のけいこくの森動物病院・世田谷犬猫歯科です。 日本人の80%が罹患しているともいわれている歯周病ですが、わんちゃんでは2歳で80%、3歳で90%、7歳で
For a healthy life with your beloved pets.
For a healthy life with your beloved pets.