2026/03/11
【歯科・外科症例】歯が足りない?「埋伏歯」と短頭種の呼吸ケア

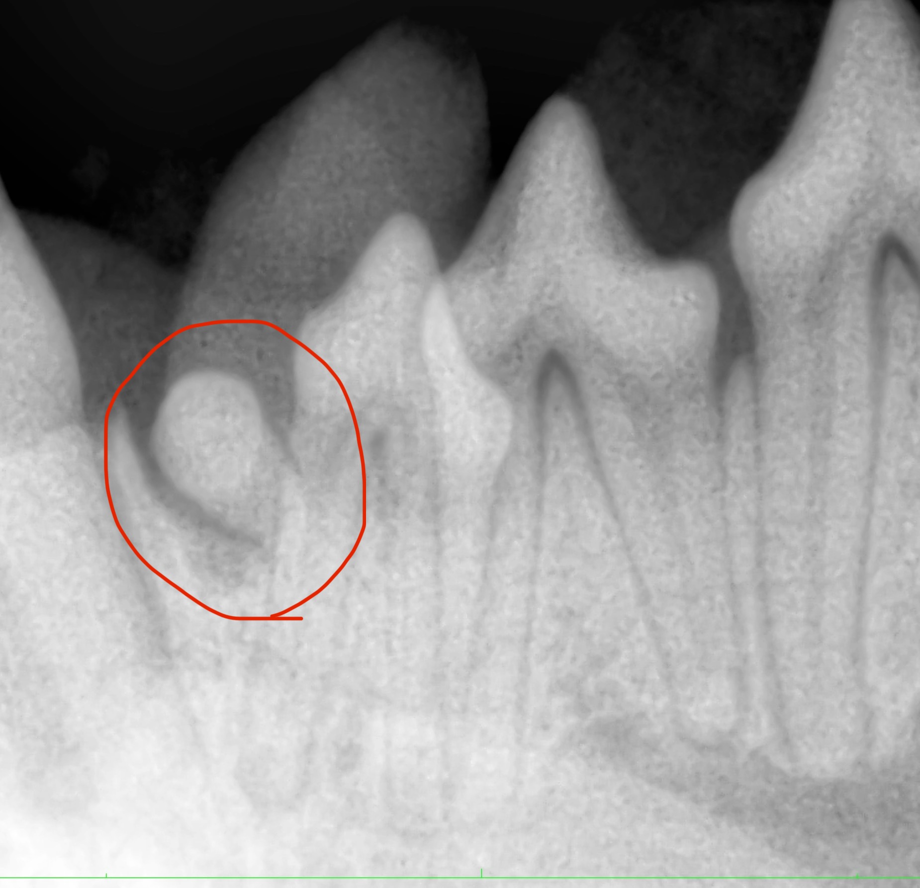
こんにちは! 世田谷区等々力のけいこくの森動物病院です🌳 一見「歯が足りないだけ」に見える状態が、実は「埋伏歯」という放っておくと危険なサインかもしれません。 今回は1歳6ヵ月で埋伏歯の抜歯と短…
2026/03/11

こんにちは! 世田谷区等々力のけいこくの森動物病院です🌳 一見「歯が足りないだけ」に見える状態が、実は「埋伏歯」という放っておくと危険なサインかもしれません。 今回は1歳6ヵ月で埋伏歯の抜歯と短…