2025/12/03
こんにちは!
世田谷区等々力のけいこくの森動物病院です。
今回は、硬いものを噛んだことで歯が折れてしまったわんちゃんの治療をご紹介します。
症例
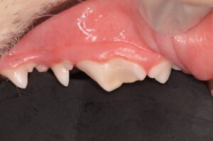
1歳のコーギーさん。鹿の角のおやつを与えていたところ、奥歯が欠けてしまったとのことで来院されました。
診察したところ、左上顎の大きな臼歯(第4前臼歯)が折れていて(破折)、さらには歯の中の神経・血管(歯髄)が露出している状態でした(露髄)。


この状態は、歯の中に口の細菌が侵入して感染を起こしてしまう状態です。放置すると歯の根の周囲にまで感染がすすんで膿が溜まり頬に穴が開くこともあります。
本来、肉食が主体の動物であるイヌの歯は硬いものを噛み切るようにはできておらず、簡単に折れてしまいます。
硬すぎるものを与えないことがなにより大切です。
折れて露髄を起こしてしまった歯の治療としては、感染している部分を取り除く必要がありますが、歯ごと抜いてしまう抜歯か、感染した歯髄のみを抜いて詰め物をする治療(歯内治療)を行うかを相談します。
抜歯は一度の全身麻酔処置で終えられるメリットがありますが、今回の歯はものを噛むための歯ですので抜いてしまうとこちら側ではものを噛むことができなくなるというデメリットがあります。
対して、歯内治療は複数回の全身麻酔による定期的な経過観察が必要となりますが、歯を抜かずに温存が見込める治療です。
今回のコーギーさんはまだ若くものを噛むことが大好きなわんちゃんということでしたので、相談のうえ歯内治療を行うこととなりました。
歯科処置
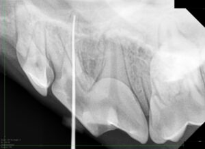
全身麻酔下で詳細な検査を行います。歯科レントゲン撮影を行い、現時点ですでに歯の根の周囲に異常がないか、他にも歯周病の進んだ歯が無いかなどを確認します。
検査後、麻酔を維持したまま実際の治療に進みます。歯内治療では歯の中の感染を起こした歯髄を専用の器具を使って取り除きます(抜髄)。

歯髄を取り除いて内部を洗浄した後、再度細菌が増殖するスペースを残さないように詰め物を入れます(根管充填)。
最後に歯の表面をコンポジットレジンという材料で覆うことで保護する処置をして終了です。

今後は定期的に歯のレントゲン検査を行い、状態の悪化がないかを確認していく予定です。
このように、折れた歯でも抜かずに治療するという選択肢もございますのでご相談お待ちしております。
【関連する記事はこちら】
【症例紹介】歯が折れてしまったわんちゃんに抜髄根管治療を行った症例
東京都世田谷区、等々力、玉川、上野毛、尾山台、自由が丘、田園調布で、歯でお困りの方は、いつでもお気軽にご相談ください。
。・゚・。。・゚・。。・゚・。。・゚・。・゚・。
けいこくの森動物病院 世田谷犬猫歯科
〒158-0082
東京都世田谷区等々力1-34-18
シュロス等々力1F
TEL:03-3704-1014
。・゚・。。・゚・。。・゚・。。・゚・。・゚・。



