2025/11/26
こんにちは!世田谷区等々力のけいこくの森動物病院です。
今回は歯周病に対する治療を行ったワンちゃんのご紹介です。
症例
今回の症例は、7歳のチワワさん。毎日歯磨きを頑張ってはいるけれど口臭や歯の汚れが気になってきたということで歯科治療を希望されました。
診察時、歯の表面上の歯石は少なく見えましたが一部歯肉が赤く腫れているところや本来の位置よりも下がっている歯肉も見られたため、見えない部分の詳細な診断や治療のため、麻酔をかけての検査・治療に進みました。
歯科検査・処置

処置前の写真です。見た目の上では軽度の歯石に見えますが…

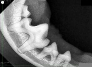
歯科用レントゲン検査です。専用センサーを口の中に入れて撮影するためわんちゃん・ねこちゃんでは麻酔をかけて行います。
今回この検査を行ったところ歯を支える骨(歯槽骨)が溶けている部分がありました。
このチワワさんは体重が2kg未満の子ですが、このまま顎の骨の喪失が続くと将来的に骨折するリスクもあります。
相談の上、今回はこの歯を抜歯することになりました。

処置後の写真です。悪くなった歯を抜歯して歯肉を糸で縫っています。
その他の歯は、炎症の原因となっている菌の塊である歯垢(プラーク)や歯石を取り除く治療(スケーリング)を行いました。
歯周病の難しいところは目で見えない場所で静かに進行していく点です。歯磨きを頑張っていて見た目にはきれいに見えても、今回のように歯周病が進行しているケースにはよく遭遇します。
ご自宅でのホームケアは何よりも大切ですが、定期的な麻酔下での治療も歯を残すためには必要であることを痛感させられる症例でした。
当院では、定期的な歯科検診を推奨しております。
若い時期からどれだけ歯周病を軽度な状態に留めておけるかがポイントですので、ご相談をお待ちしております。
【関連する記事はこちら】
口臭や食欲低下、歯がグラグラ出血する…もしかして歯周病かも?
犬の歯ぐきの減り、歯のぐらつき…歯周炎まで進行しているかもしれません
東京都世田谷区、等々力、玉川、上野毛、尾山台、自由が丘、田園調布で、歯でお困りの方は、いつでもお気軽にご相談ください。
。・゚・。。・゚・。。・゚・。。・゚・。・゚・。
けいこくの森動物病院 世田谷犬猫歯科
〒158-0082
東京都世田谷区等々力1-34-18
シュロス等々力1F
TEL:03-3704-1014
。・゚・。。・゚・。。・゚・。。・゚・。・゚・。



