2025/11/19
こんにちは!世田谷区等々力のけいこくの森動物病院です。
今回は歯周病治療として歯のスケーリングを行ったわんちゃんの紹介です。
症例
今回は、3歳のスピッツ犬。
昨年も歯石・歯垢除去(スケーリング)を行っていますが、再び歯が汚れてきたとのことでおよそ1年ぶりに麻酔をかけて検査・治療を行うことになりました。
術前の写真です↓

奥歯を中心に歯石の付着がみられます。また、全体的に歯と歯肉の境界が赤く腫れてきている箇所も見られ、この部分には歯肉炎が起きていることが予想されます。
歯肉炎とは、歯周病の初期段階であり口の中の細菌に反応して歯肉が炎症を起こしている状態です。進行すると歯を支える組織が壊されていき(歯周炎)歯がぐらついたり顎の骨の骨折に繋がることすらあります。
歯肉炎が起こっている部分には表面だけでなく歯と歯肉の間の溝にも細菌の塊である歯垢や歯石が蓄積してきている状態ですので、この部分もきれいにする治療が必要です。わんちゃんの場合、歯肉の下や歯の裏側など、普段の歯磨きではどうしても磨ききれない場所が出てきてしまいますので、歯周病を進行させないためには定期的な麻酔下での処置が必要です。
検査・治療
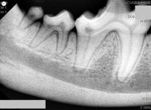
口の中のレントゲンも撮影します。この検査では表面からの見た目だけではわからない歯の根の周囲の様子が確認できます。口の中に専用のセンサーを挿入して撮影するため、犬にとってストレスにならないよう麻酔をかけた状態で行う必要があります。同時に歯を1本1本触り、歯肉の溝の深さを測って深い歯周ポケットができていないか確認もします(プロービング)。

結果として、昨年から歯周病が進行した箇所はみられず、抜歯などの必要はありませんでした。歯肉の溝含めて徹底的なスケーリング治療を行って終了です。
術後の写真↓

今後も定期的な健診と治療を継続して、お口の健康を守っていきましょう。
歯周病は自然に治るものではなく、1度失った歯周組織を回復させることは大変です。
生涯に渡り少しでも多くの歯を残せるよう、若い頃からの歯科検診をお勧めしています。
【関連する記事はこちら】
口臭や食欲低下、歯がグラグラ出血する…もしかして歯周病かも?
東京都世田谷区、等々力、玉川、上野毛、尾山台、自由が丘、田園調布で、歯でお困りの方は、いつでもお気軽にご相談ください。
。・゚・。。・゚・。。・゚・。。・゚・。・゚・。
けいこくの森動物病院 世田谷犬猫歯科
〒158-0082
東京都世田谷区等々力1-34-18
シュロス等々力1F
TEL:03-3704-1014
。・゚・。。・゚・。。・゚・。。・゚・。・゚・。



