2025/12/11
こんにちは!世田谷区等々力にありますけいこくの森動物病院です🌳
今回は、上顎の第四前臼歯の破折で来院したビションフリーゼさんの症例をご紹介します。
第四前臼歯は破折が起きやすいのが特徴です。
来院のきっかけ
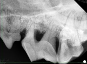
5歳のビションフリーゼさん。奥歯が黒く見えるという主訴で来院されました。幸い虫歯ではありませんでしたが、左右の上顎第四前臼歯がどちらも破折していることが分かりました。また、左右で破折の状態が異なりました。
診断結果
右第四前臼歯:単純性歯冠破折
歯の中の神経は露出(露髄)していませんでしたが、エナメル質がなくなり、象牙質が露出した状態でした。

左第四前臼歯:複雑性歯冠破折
破折により、歯の中の神経の露出(露髄)がみられました。
さらに歯科レントゲンを撮影すると、顎の骨が溶けているが分かりました。


治療
右側:コンポジットレジンで修復
露髄していない右側は幸いレントゲン上で感染を示す所はありませんでした。
しかし象牙質が露出しており、このままでは細菌が入り込み、後から感染を起こす可能性があるため、コンポジットレジンで修復を行いました。

左側:抜歯
当初は歯内治療をご希望でしたが、破折に加えて歯周組織が大きく失われていたため、歯を温存するには歯周組織再生治療が必要になります。
今回は飼主さんと相談の上抜歯となりました。
破折した歯は放置すると痛みだけでなく、
・歯髄の感染
・根尖病変
・鼻腔への炎症波及(特に犬歯や第四前臼歯)
などのトラブルが起こることがあります。
ご自宅での予防
第四前臼歯の破折は、わんちゃんの破折で一番多い場所です。
与えているおもちゃやおやつが硬すぎないか今一度確認しましょう。
目安として、
自分の爪でへこまないほど硬いものは噛ませない
と覚えておくと安心です。
安全なおもちゃについても診察時にご相談くださいね。
まとめ
・第四前臼歯の破折症例
・右側は露髄なし→レジン修復で歯を温存
・左側は露髄+歯周病進行→相談の上抜歯
・破折歯は放置すると大きなトラブルの原因に
・硬すぎるおもちゃは避けるのが大切
東京都世田谷区、等々力、玉川、上野毛、尾山台、自由が丘、田園調布で、歯でお困りの方は、いつでもお気軽にご相談ください。
【関連する記事はこちら】
。・゚・。。・゚・。。・゚・。。・゚・。・゚・。
けいこくの森動物病院 世田谷犬猫歯科
〒158-0082
東京都世田谷区等々力1-34-18
シュロス等々力1F
TEL:03-3704-1014
。・゚・。。・゚・。。・゚・。。・゚・。・゚・。



