2025/12/16
こんにちは!
世田谷区等々力のけいこくの森動物病院です🌳
今回は上顎の前歯が折れてしまい(破折)、抜歯を行ったわんちゃんを紹介します。
破折とは
破折(はせつ)とは、硬いものを噛んだり、ぶつけたりすることで歯が部分的または完全に折れることを指します。
破折が発生すると、歯の内部が露出し、神経や血管に影響を与えることがあります。
破折した歯は、放置すると感染を引き起こす原因となるため、早急に処置を行う必要があります。
症例

10歳のわんちゃんです。
前歯がぐらつくために受診されました。
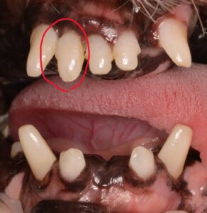
触診では上画像で赤丸をしている右上顎の2番目の歯(102)が他の歯と比較しても大きく揺れていました。
歯周病が原因で歯が揺れることもありますが、歯肉の状態は他の歯と変わらないため、1本だけが折れている可能性も考慮し歯科処置をすることにしました。
術前検査
全身麻酔をかける前には必ず術前検査を実施します。
8歳未満
血液検査、胸部レントゲン検査、心エコー図検査
8歳以上
血液検査、胸部レントゲン検査、心エコー図検査、腹部エコー図検査、尿検査
手術
全身麻酔をかけてから、すべての歯のレントゲン撮影と診断を行います。

レントゲンでは歯が折れている様子がはっきりと分かります。
神経が通っている部分で折れているため、放置してしまうと感染のリスクがあります。
そのため、折れている歯は抜歯を行いました。
抜歯した部分は吸収糸で縫合します。
その他の歯は超音波スケーラーを用いて歯周ポケットの中までしっかりと歯垢・歯石を除去し、最後に2種類の研磨剤を用いてきれいに磨きました。
まとめ
わんちゃんは固いものを噛んだり、ぶつけたりすることで歯が折れることがよくあります。
折れた歯は放置すると感染を起こし痛みが出てきます。
異変を感じたら早めに病院を受診するようにしましょう!
【関連する記事はこちら】
東京都世田谷区、等々力、玉川、上野毛、尾山台、自由が丘、田園調布で、歯でお困りの方は、いつでもお気軽にご相談ください。
。・゚・。。・゚・。。・゚・。。・゚・。・゚・。
けいこくの森動物病院 世田谷犬猫歯科
〒158-0082
東京都世田谷区等々力1-34-18
シュロス等々力1F
TEL:03-3704-1014
。・゚・。。・゚・。。・゚・。。・゚・。・゚・。



